Больше 3-х часов разговаривали с не самым разговорчивым (со слов собеседника) врачом-травматологом-ортопедом Александра Чернецкого — кандидатом медицинских наук, заведующим отделением НМИЦ ТО им. Р.Р. Вредена — Максимом Юрьевичем Гончаровым.
Этот человек за 28+ лет в медицине прошёл путь от санитара к таланту делать более 150+ в год сложнейших операций по замене и укреплению крупных суставов. Доктор рано просыпается, испытывая колоссальную ответственность без права на ошибку. На операционный стол очередь со всей страны.
Максим Юрьевич — смелый человек, оперирующий в том числе публичных музыкантов. Без его служения медицине и людям, мы бы не услышали самых ярких альбомов группы «Разные Люди» питерского периода. Без него Чернецкий бы не справился и не дописал песню «Никогда не вернусь». А альбом «911» не стал бы таким смысловым.
Из интервью Максима Гончарова для книги «Жизнь стоит того…»:
В ситуации с Чернецким, когда уже не одна операция состоялась на суставе, длительные промежутки без наблюдения существенны. Я вообще радуюсь, что он до сих пор ко мне не обратился по какому-то острому вопросу. У людей, которым выполнено эндопротезирование, чем больше операций сделано, тем хуже результат. С каждой операцией тяжелее делать следующую.

Можно зацепить какую-то часть кости?
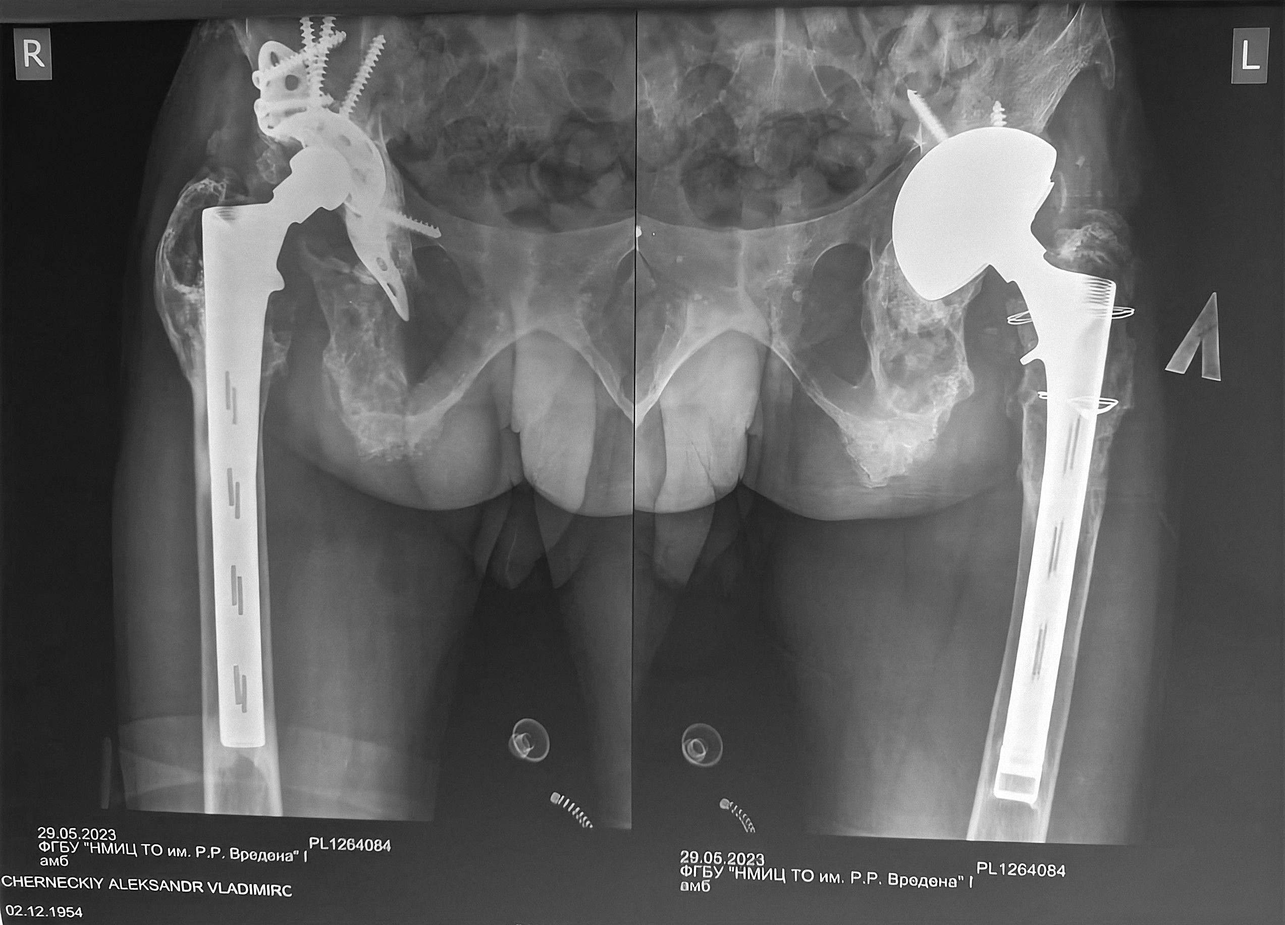
Протез — конструкция, которая вставлена внутрь кости. Кость держит сустав. А протез работает, разбивает кость, воспаляется и дальше получается, что костной основы, куда ставить новый, становится всё меньше и меньше.
Причём, протез состоит из двух частей, из тазовой и бедренной. Одна половинка — в тазу, вторая — в бедре. Протезы Киселёва до сих пор стоят в бедренной кости. Сколько лет уже! Но они несут в себе большую опасность, потому что их вынуть практически нереально. Они длинные и врастающие. В них кость врастает так, что их вынуть, если не дай Бог придётся, — целая история. Длина конкретного протеза стандартная. Разные модели отличаются.
Ещё же длина ног разная?
Да. Но это другая история. Эндопротезирование — это технологии. Наши-то, отечественные, рождались на коленке. В принципе, неплохо рождались. Технологии длинных врастающих ножек работают, но работают за счёт каких-то потерь. Эти потери заключаются в том, что, если не дай Бог, придётся протез вынимать, то это разрушение всей кости. Новый поставить — большая проблема. А вот тазовые кости у Саши не удержали протез. А во впадине всё достаточно ограничено по костной поддержке. Человек ходит, и впадина расшатывается, причём больше, чем бедренная.
Киселёв — молодец. Он был, в общем-то, продвинутым человеком и сделал для того времени неплохой протез. Но, как показала практика, западные инженеры шли вперёд с самого начала, и, конечно, опережали. Они, конечно, более работающие конструкции делали. Но тогда просто не было возможности ставить другие. Заграничные протезы широко пошли примерно с 2003-го. Тогда мы Саше на ревизии поставили уже на одну сторону частично заграничную чашку, частично нашу. Что было заграничное, то поставили. Тем не менее, вторая половина этого изобретения Киселёва работает до сих пор, и это большой успех. Потому, что у нас был опыт использования других отечественных эндопротезов. Там всё намного хуже было. Они выходили из строя через 2-3 года. Поэтому, дифирамбы Киселёву оправданы.
Чернецкому ещё до 2003 года бедренные компоненты Киселёва были установлены. Или раньше ещё, или в конце 90-х, и они до сих пор стоят, это 20-30 лет. Даже для заграничных протезов это отличный результат. А вот верхние части отдельно разрабатывались, оказались неудачными. Это вертлужная, та, что в таз вкручивается, или вставляется, или приклеивается. Совершенно разный дизайн, философия, работоспособность и они могут принципиально отличаться.

Вспомнил немного историю Саши. Проблемы были только с вертлужной частью, постоянно меняли её. А бедренный компонент все хирурги оставляли. И нагноение у него было. Нагноение — отдельная история. Организм скомпрометирован. Потому что болезнь Бехтерева — частично связана с иммунной системой. Чем больше операция, чем массивнее, чем больше по времени, тем больше риск инфекции. Может залететь что-нибудь из операционной. Это не значит, что там, в операционной что-то нарушено. Там не всё стерильно всегда, ну, люди заходят, выходят. Во всём мире хирургическая рана считается не стерильной, а условно чистой. Мы её считаем чистой, потому что мы сделали всё, чтобы она была чистой. Но, естественно, какой-то микроб может пролететь, этого никто не гарантирует. А может из своего же организма отстрелить. Например, из зубов.
А Саша иммунологически скомпрометирован, у него длинная травматическая первичная операция. В 90-е и начале 2000-х оперировали долго (не знаю деталей), но предполагаю, что его операция длилась часа 4-5. Сейчас это можно сделать за 1,5 часа. Технологии просто развиваются. Поэтому, чем длиннее операция, тем длиннее экспозиция раны. Рана открыта большее время для микробов. Масса нюансов, которые влияют.

На концертах Чернецкого бывали?
Если честно, не фанат. Когда Саша мне подарил свои кассеты, диски, послушал. Некоторые песни как бы втыкают, что называется. Если честно, в душе я больше «алисоман». Мне в общем-то всё время это нравилось. Со школьного возраста. Но никогда не участвовал в этих тусовках. Песни у Кинчева нравятся блюзовые. Тяжеляк у меня не проходит.
Хочу продолжить наш диалог о вашей профессии. У меня был большой видео-альманах «100 смыслов психотерапии», где разговаривал с врачами из области психотерапии. Наша встреча всегда начиналась с вопроса: «Почему вы врач?». Хочется спросить и вас: почему вы врач?
Потому, что родители направили. А я не сопротивлялся. Вот сейчас своих детей не могу направить. Потому, что у нас, в последнее время, столько негатива навешано родиной нашей на медицину. У меня жена — медсестра в хирургии. Волей-неволей обсуждаем какие-то наши проблемы в семье. А дети слушают. В итоге дообсуждались, что к моменту, когда им думать, чем заняться, они сказали: «Да ну, нет! Не хотим медицину!». А мне было относительно интересно, не то, что близко. Так бывает, учишь и тебе становится интереснее, вооружаешься. У меня мать — врач-инфекционист. Бабушка — педиатр. Тётка — санитарный врач.
То есть, вы в третьем поколении уже врач?
По мужской линии по-другому шло. Но условно, да, получилось так, по-семейному. Мне сказали где-то в 10 классе: «Ну, давай, в медицинский!» Я не сопротивлялся. Хотя не был уж таким паинькой. Ответил: «Хорошо. Есть!». И пошёл учиться, и, как бы, попало в тему. Сначала не поступил. Так получилось. Набрал 12 баллов из 3-х экзаменов, т.е. по 4, и не зачислили. Устроился санитаром, полы мыл. Потом через 1-2 месяца приходит письмо из Первого меда: «Вы зачислены допнабором» на бюджет. Тогда это счастье было всей семье!

То есть, вначале думали, что не поступили, а на самом деле поступили.
Да. Вот так у меня выстроилась эта дорожка, я по ней пошёл. И иду. И, вроде, неплохо, вроде интересно. Тут интересно, там неинтересно, там больше интересно. В итоге, суммарно, больше интересно, чем неинтересно. Получилось так, что совпало, видимо, и желание тех, кто меня направлял по тому пути, и мои. Совпало с тем, что надо делать. Не думаю, что я какой-то уникальный специалист. Знаю тех, кто по моему мироощущению, более талантливые хирурги, чем я. Но в чём, на сегодняшний момент, моя сила и успех? В том, что я, если честно, одно и тоже делаю много лет в разных интерпретациях. Сейчас очень развита узкая специализация. И это правильно в современном мире. Потому что, если это недоразвитая медицина, то есть врач, который «лечит всё» (как лечит, соответственно, понятно), он не имеет возможности углубиться и даже почитать какую-то литературу. У него нет времени, много работы. А пойди, почитай по всем направлениям современную литературу! Ну, а узкая специализация — когда выходишь на острие проблемы и её решаешь.

А как сложилась история со специализацией? На каком этапе поняли, что хотите заниматься ортопедией и травматологией?
Всё очень банально. В группе — товарищ (постарше немного), с которым учимся. Он уже работает в травмпункте. Говорит: «Макс, пошли в травмпункт работать!». Мы все где-то подрабатывали, начиная с 3-го курса. Хоть и формально, студент института 3-го курса является медсестрой. Пошли подрабатывать. Деньги всем нужны. И кто заинтересован в практике, нужна и практика какая-то. А он в травмпункте работал. А у меня этот пункт под боком. В том же институте, где работаю. Почему бы и нет? Близко, комфортно. Ну, и всё. Пошёл туда. Поработал, смотрю, вроде неплохо. Интересно, а там такая история, что поработать дают и руками. Там если команда нормальная дежурит, говорят: «Давай, рядом постою, а ты поработай». Взял — рану обработал, какую-то репозицию, перелом вправил. Хорошая практика. Ну, и вот так и получилось, что пошёл в травмпункт. А дальше, как получилось. В травмпункте дежурил доктор, который работал на операциях. Говорит: «Приходи ко мне, покажу, как операции проходят, а ты мне будешь помогать». Всегда руки востребованы, не было никогда, чтобы там очередь выстроилась. Всегда нужны ассистенты на операцию, вечный дефицит. Для тех, кто работает, ты бесплатная рабочая сила. А ты учишься.
Вы с первого месяца поняли, что хотите там работать? Или всё-таки картина мира как-то устаканилась в процессе?
Нет, не с первого. Получилось так, что не с начала. Я ж до этого ещё на скорой поработал год фельдшером. То есть, на 3-м курсе сначала на скорую пошёл (мама пристроила, её сокурсница работала на станции скорой помощи). Но там вообще школа жизни: и пьяные, и битые, и наркоманы. Интересная жизнь. Но там как-то не пошло, не сложилось. Тяжеловато. А дальше, всё-таки, под крышей, не в поле, как-то спокойнее. Потом, в травмпункт. Ну, вот так идёшь, и, если течение реки позволяет, по нему и идёшь. Был доктор, который сказал: «Приходи». Пришёл. Сформировалась своя команда таких же молодых, как я. Дальше начинаешь думать о будущем. Конечно, сразу устроиться — это сложно. Сейчас ещё сложнее.

Помните свою первую операцию? То есть, когда не ассистировали уже, а многое зависело от ваших решений.
Если честно, не помню. У меня просто была серия разом, какой-то накат. Но всё равно она не личная операция. Она никогда не бывает полностью своей. В течении первого года будешь с кем-то рядом стоять, с тем, кто опытнее и тебя подстрахует. До сих пор, уже имея более 25 лет практики, на рутинные операции могу сходить один, с малоопытными ассистентами. А что-то выше среднего, пойду только с теми, в ком уверен. Во время любой операции нужна поддержка ещё и психологическая. Тебе нужен опыт, в том числе и чужой.
Сколько человек должно стоять рядом?
У нас обычно три. Иногда четыре. Если что-то простое — можно вдвоём. Но это всегда очень высокая психологическая нагрузка, потому что ты, по большому счёту, не должен ошибиться. Если ошибся — это может природа простить, а может и не простить. Там три составляющих успеха: хирург, имплант и пациент. Хирург, если опытный, всё будет хорошо; если он не ошибся по каким-то объективным причинам. Имплант — это должна быть качественная конструкция. У нас, в общем-то, это работает, это есть. Если ничего не изменится в стране, так будет и дальше. А пациент — наверное, самый ключевой фактор в правильно организованном месте. Если правильно организована работа, то хирург хороший и имплант хороший. Имплант купили качественный, хирург работает знающий, а вот пациент — это, к сожалению, ситуация, сильно варьирующая: как у него кости дальше; сегодня они слабые, средние, крепкие, какими они станут дальше. Потому, то мы тот же эндопротез ставим на много лет — на 15-20. Что там будет через 10 лет? Что будет через 5? Как биология будет работать? А идея эндопротеза в том, что железяка должна быть фиксирована в кости. Кость стала слабая — и всё. Фактор хирурга — это как эта железяка поставлена. Пространственные вещи, степень фиксации, травматичность и т.д. Но если это опытный хирург, который, как считается, делает больше 150 операций в год. Значит, хороший уровень. Значит это профессионал, у которого есть устойчивое качество работы. Во всём мире есть кривая обучаемости. То есть, поначалу результаты плохие, когда человек начинает. Дальше лучше, лучше и, наконец, хорошие результаты. Это везде есть, и на станке токарном.

Работа с последствиями болезни Бехтерева, она частая? Часто ли встречаются такие случаи?
Ну, знаете как, именно болезни Бехтерева вряд ли. Это скорее, в общую канву всей проблемы. Тут осложняют моменты, что пациент нестандартный двигательный стереотип, и он ходит не так, как здоровый человек. Здоровому поставишь тазобедренный эндопротез, он через какое-то время как ходил, так и будет ходить, раскачиваться, как маятник. У него будут сгибаться и коленки, и позвоночник, и все двигаться будет гармонично. При болезни Бехтерева — всё жесткое, ригидное. Это просто такие механические особенности этой болезни, когда срастаются выше и нижележащие сегменты того, что должно двигаться. В организме вообще всё подвижно, всё эластично. С Бехтерева всё не эластично, всё неподвижно. Получается, что это резкие движения, со стрессовыми резкими высокими нагрузками, влияют на эндопротез не очень хорошо. Другое дело, что другой фактор существует, в какой-то степени более позитивный. Эта болезнь ассоциируется с большей костной активностью. То есть, кости иногда крепче держат эндопротез. Ну, это сложно. В каждом отдельном случае смотрим как ситуация развивается и решаем проблемы по мере их возникновения. Но болезнь Бехтерева вообще не очень частая.

А.Б.: Сколько вы их примерно могли встретить за 28 лет?
Ой! Я не знаю…Человек 50, наверное.
А что у них общего?
Больше инвалидизирующая ситуация, когда пациент потерял больше, чем другие. Причём, по-разному, в разные возрасты. Это более пострадавшие люди. И у этих людей, если он не сдался, больше потенциал на выживание, больше силы воли. Потому, что, когда люди, страдающие этими вещами много лет, живут с этой болью, у них возникает какая-то резистентность к своим страданиям. Они более устойчивы к психологическим воздействиям. С другой стороны, становятся чувствительными к другим, потому что они со своей колокольни чужую беду видят.
Сложно сказать, я не изучал психологию страдающего пациента. По крайней мере, это закалённые люди. Если он не сдался в самом начале, то дальше это будет закалённый человек, который, в общем-то, все проблемы будет преодолевать. Думаю, что вот, касаемо Саши, та же история. Потому, что он с раннего возраста страдает… Ну, это же аналогия с блокадными детьми, наверное. С теми, кто рос в тяжёлых семьях, ну, если правильно воспитывались. Но, то есть, испытали массу проблем, начиная с раннего возраста, и они к этому адаптировались, при этом не потеряли себя.
То есть он, и подобные ему, при болезни Бехтерева, или при данной ситуации, выдержали все передряги и стали прекрасными людьми. При этом, могут многое дать другим с точки зрения гуманизма.


Армен Григорян из группы «Крематорий» в нашем диалоге, вспомнил про друга с такой же болезнью. Только разница в отношении того, что происходило с Сашей, психологическая. Он упал духом, настроением и очень быстро умер.
Это же мучения ежедневные. Один преодолевает, другой — нет. Один ушёл в наркотики, алкоголь, сдался — и всё. Саша — молодец! Потому, что у него стержень и дело. Вот нравится ему музыка, он поёт для своей аудитории. Чувствует, что ему это надо, и другим это надо. Молодец! Прекрасную жизнь проживает, если честно, насыщенную. По большому счёту, он инвалид первой группы. Но у него концерты, репетиции, проекты. Туда-сюда, движуха. Молодец! То есть, это сила воли.

2003 год вашей первой встречи с Чернецким. Не помню, была ли у вас тогда учёная степень или нет. Вы занимались активно подготовкой своих материалов, чтобы как-то обобщить?
В 2003 защитил кандидатскую. Но это были травматические всякие вещи, с этой проблемой не связано. Но тоже эндопротезирование.
Он как-то попал в ваше поле зрения, какое-то влияние оказал?
Да, попал, конечно. Во-первых, я всё-таки интересовался музыкальной культурой в целом — это раз. Два — это был непростой пациент. Пришлось, если честно, повозиться и лишний раз голову включить. Посоветоваться с одним, другим, третьим коллегой. Ситуация тоже была не самая лёгкая техническая, ортопедическая. У него и дефицит костей уже был, и так далее. Надо было пытаться всё восполнять. Запомнилось тем, что это требовало дополнительных действий. Если это рутинная вещь, так она и пролетает одна за другой. А если требуется включение головы на долгое время, это, конечно, запоминается.
А что может испытывать врач, на котором такая массовая ответственность. Есть разница — работать с публичным лицом, или не публичным? Это волнует?
Волнует, потому что вообще в нашей специальности, если ты победил, это, конечно, на пользу пойдёт. Если проиграл, то, естественно, твой минус. А как это пойдёт, мы не знаем, потому что много факторов, которые от нас не зависят и делают результат непрогнозируемым. Поэтому, с одной стороны — да, с другой — нет. Ты можешь выиграть в каком-то смысле, а в каком-то можешь и проиграть. Поэтому, если честно, обычному врачу, который просто хочет работать и жить в своё профессиональное удовольствие, лучше не нужно никаких публичных людей, а спокойно делать своё дело, когда не ожидаешь, что на тебя откуда-то прилетит совершенно несвязанная с медициной проблема.
Потом, публичные люди (это не касается Саши Чернецкого) требуют больше внимания бытового. Я, как заведующий отделением слежу за этим, но всё равно в рамках бюджетной медицины, у нас не пятизвёздочный отель, не могу обеспечить супер-условия. А публичные люди, часто требуют чего-то экстра.

Почему взялись за случай Саши? Помните момент принятия решения?
Это наша работа, по большому счёту. Киселёв обратился, пересекались по профессиональным вопросам, и он сказал, что есть такой парень. Я сказал: «Ну, давай, почему нет». Мы же не отказываемся особо ни от кого. Нет, можно отказаться с точки зрения медицинской — неперспективный пациент. Когда понимаешь, что он или не перенесёт операцию по общему здоровью (старенькая бабушка и т.д.), с деменцией, когда мозгов нет, зачем тогда протез ставить, если она не будет контролировать. То есть, там ограничения определённые. Или, когда не решаемая ортопедическая ситуация вообще.
Тут — решаемая проблема. Имеем возможность. Поэтому, не отказываемся. Более того, мы всегда, практически, были одним из ведущих центров России, поэтому, спрашивается, чего нам отказываться. Как наш директор говорит: «Кто, если не мы?». Мы могли это сделать, поэтому сделали, а дальше другая история. На самом деле к нам вся Россия посылает то, что не могут сделать сами. Поэтому, иногда и негативные отзывы бывают, потому что люди ожидают многого, а приезжают такие пациенты, которым и помочь сложно. Где-то полечили, потом отказались, сказали: «Мы не можем, поезжайте дальше».

С чем столкнулись, кроме физических моментов в работе с Александром? Было ли что-то, что сложно давалось и было неизвестно на тот момент?
Не помню уже. Но что запомнил, что он был абсолютно открыт к сотрудничеству. Бывают пациенты, которые сразу приехали с каким-то негативом. Просто, люди готовые конфликтовать сходу. Есть те, кто просто не верят. Нам важно, чтобы было взаимопонимание с врачом, диалог и доверие. Не в наших интересах вред какой-то наносить. По большому счёту, это наша профессиональная работа. Мы внутри, между собой, ну, не то, что соревнуемся, а стараемся сделать хорошо и красиво.
Слишком высокая планка.
Да. И ответственность. В любом случае, каждая операция идёт так, что ты включился, и максимум выжимаешь из себя. А если не получается, начинаешь нервничать, тут ещё какие-то сосуды рядом. Не дай Бог повредишь крупные сосуды, это смерть от кровопотери. Всё время давление, поэтому ты вечно в напряжении от всевозможных рисков и от того, что получится на выходе. Заходя внутрь, я не знаю точно, что будет на выходе. Предполагаю, потому что есть опыт. Могу просчитать на 90%, что получится. Но 10% могу понимать, что всё может пойти совершенно не так, как видно на рентгене, не так, как я предполагаю.
Момент, с 2003-го, тогда ещё Плоткин был жив. Почему так случилось, что Саше нужно было поменять врача?
Не знаю деталей их взаимоотношений. Думаю, они технически не справлялись уже. Потому, что на уровне старта вот этой всей истории, там, в этой больнице базировалась кафедра травматологии и ортопедии. Тогда больница Святого Георгия была на неплохих позициях. Там были люди, которые, в общем-то, понимали суть вопроса и вообще, узко эту тему развивали, параллельно с нашим институтом. Получилось, что они нашли Сашу. Киселёв появился на пути. Это позитивная история. Потому, что жизнь показывает, что как минимум половина эндопротеза работает до сих пор. Вторая половина показала себя нехорошо, и она уже несколько раз потребовала замены. Не известно, как бы тогда получилось спасти ногу. Иностранных протезов практически не было. Да и иностранные тоже были не идеальны на то время. Неизвестно, как бы сработали другие альтернативы. В рамках того времени всё шло позитивно.

Немного романтизированная история, что Киселёв узнал о Саше во многом из-за того, что у него была его кассета, и он сам увлекался музыкой. Это и стало основой, чтобы прийти домой к Саше в Харькове. Они же с Плоткиным оказались в НИИ им. Ситенко, на конференции, и вместе пришли к Чернецкому домой.
Вполне возможно. Не знаю. Может, это не совсем так. Первично была, конечно, конференция. Оказались в нужном месте в нужное время.
Хочу вас спросить про личность Киселёва и личность Плоткина. Этих людей больше нет, и я с ними не успел познакомиться. Могли бы вы их описать. Что они делали и чем характерны для начала 90-х по начало 2000-х?
Я их тоже очень близко, если честно, не знал. Но Плоткина знал как старшего коллегу из другой больницы, с которым встречались на конференциях, здоровались за руку. По большому счёту, с ним решал какие-то научные вопросы. Скорее, бюрократические. Поэтому, лично с ним, в общем-то, сильно не общался. Знал, что это был достаточно сильный, на своём месте заведующий, который занимался травматологией и ортопедией. Руководил известным в Питере отделением, где могли делать многое хорошо. По большому счёту, и всё. Пересекались мы только по рабочим вопросам.
Частая история, что заведующие отделением имеют научную степень доктора наук в хирургии, травматологии?
Да. Ну, с чем работаешь, с тем и науку делаешь. То есть, кто готов идти в науку, естественно, копают в направлении, которое знают. Это совпадает однозначно. Что касается Киселёва, мы близко не общались. Это один из инженеров, который сделал прорыв, в то время, когда активно разрабатывались отечественные эндопротезы.
А вообще изобретателей было много, кто занимался этим?
Немного, но им «зелёный свет» был. Сейчас получилось так, что когда открылись шлюзы для заграничных эндопротезов в начале 2000-х, тогда они просто задавили наши экономически. Просто вошли на рынок уже более продвинутые, более используемые, более качественные, более технологически выверенные. Те, в которые вложено гораздо больше ума, технологий и денег. Они были дешевле, потому что они производились массово в несравнимых с нами масштабах. Естественно, массовое производство более дешёвое. Наши просто потеряли в конкуренции, хотя идей было немало, люди творчески работали. Киселёв из таких творческих, погружённых в тему энтузиастов своего дела.
У его мамы, насколько помню, были проблемы с суставами, поэтому он этим и занялся.
Я слышал об этом. Но, по крайней мере, была плеяда таких инженеров и даже производителей. Был период, когда они занимали определённую нишу в производстве и продаже этих эндопротезов. Наверное, не могу сказать по времени, но более, чем уверен, что был период, когда 90% было отечественных эндопротезов. Но было мало операций, по сравнению с сегодняшним временем.
А почему стало больше?
Это стало более доступно. И финансирование от государства пошло.
Что происходило с людьми, которые нуждались в операции?
Востребованность большая и тогда, и сейчас. Но эти люди не доходили до хирургов. Они просто жили с этим и мучились. Просто, системно не было этого вида медицинской помощи. Сейчас возникла эта помощь и развилась. И государству огромное спасибо, что это финансирует. До 2000-го такого массового финансирования этого вида медицинской помощи не было. Были пациенты, которые мучились, как сейчас. Это же не онкология, не умирают. Но люди не ходят, им больно и ограниченность двигательная.
А семьи этих пациентов, имею в виду реакцию близких на то, что с их мужем, отцом, братом, сестрой, мамой; реакция какая?
Раньше была ярче, сейчас спокойнее. Сейчас просто все люди в информационном поле, наоборот уже, другая сторона медали. Многие считают это уже рутинной операцией, за ерунду какую-то. Иногда с этим сталкиваешься: «А что там, сустав поменять?». На самом деле, масса проблем вокруг, и, если неправильно идти по этому пути, можно схлопотать массу проблем. Это не маленькая операция, просто делается рутинно, и делается условно на потоке, в хорошем смысле слова, потому что много людей научилось это делать, и возникла возможность по многих больницах это делать. Это вышло на определённый уровень, местами потоковый. Это не значит, что от этого операция стала менее сложной. Научились её лучше делать, технологии позволили всё ускорять: и реабилитацию, и результаты улучшать. Тем не менее, это остаётся не тривиальной проблемой. В целом всё идёт хорошо, если ничего не случится дальше. Направление позитивное, но без поддержки государства это всё остановится, естественно. То есть, вопрос именно в финансировании.

Люди, которые переносят эти операции, насколько им в дальнейшей жизни удаётся реализоваться? Есть ли какие-то примеры, из того, что вас удивило? Они возвращаются к работе, или…?
Опять же, всё зависит какая работа. Это спокойная жизнь дальше. Интенсивный спорт не рекомендуется. Не говорим, что это исключается. Мы не рекомендуем, т.к. это потенциально несёт риск раннего выхода из строя искусственных суставов. Но, у меня есть пациенты, которые занимаются бодибилдингом до сих пор, приседают со штангой, годят в горы. Это исключение, мы этого не разрешаем. Они берут на себя эту ответственность. Мы им говорим, что не хотим, чтобы вы это делали. Они говорят, что не могут без этого. Кто-то делает, и получает проблемы, кто-то не получает проблем.
Что говорите, когда приходит такой человек: «Я ж тебе говорил!».
Ну, если проблема, то да: «Я ж тебе говорил!». Приходит, говорит, что делает это. Обычно говорю: «Делай, но осторожно, пожалуйста». Больше ничего не могу сказать, потому что у каждого своя жизнь, и мы, в общем-то, не имеем права ограничить это всё жёстко. Мы рекомендуем. Обычно эти операции делаются от 60 лет и старше, но, конечно, и в 20 бывает. Но к 60-ти и активность у людей не такая высокая. Поэтому с каждым человеком идёт достаточно индивидуальное обсуждение того, что он хочет от жизни. Мы предварительно всегда обсуждаем, что ты хочешь в этой жизни и что можешь получить. Приходят люди с завышенными требованиями. Мы должны объяснить, что ты можешь это не получить, чтобы не было неоправданных ожиданий. Бывает пациент приходит к нам с небольшой болью, начитавшись интернета — «Давайте заменим сустав! У меня будет искусственный керамический супер-пупер сустав и ничего не будет болеть». Это совершенно не так.
Он может получить другую историю. У тебя там кольнуло, заменил сустав, дальше получил проблему. В 5% случаев они могут давать проблему. На 100% мы никогда не уверены, что всё будет работать хорошо. И мировая статистика это показывает. То есть, всегда 5% определённых неудач разного уровня серьёзности. Бывают проблемы, требующие повторных операций, например, инфекции, вывихи. На самом деле, если это обсуждать, там куча технических, анатомических, травматических и прочих проблем. Но этих проблем в целом на круг немного. Поэтому, принято считать, что в целом это очень успешная операция. Одна из самых успешных в истории ортопедии. Но это не значит, что надо рваться на стол, когда у тебя там что-то закололо, или болит, но не сильно. Если ты справляешься с этой болью, если она тебе не мешает жить, то не надо в себя ничего лишнего втыкать.
Сколько длились эти операции у Александра примерно?
По 2-3 часа. Это были сложные ревизионные вмешательства
Что делаете, чтобы не сгореть на работе от такого количества операций?
Да чёрт его знает! Семья.
Физически занимаетесь? Я знаю некоторых хирургов, у них перед операционкой турник есть.
Если честно, времени не хватает. С работы пришёл, поел, бытовые вопросы порешал и всё, день кончился. И дальше, с утра поехал, и снова. Отпуск, выходные, восстанавливаешься.
Знаю, Плоткин приезжал в отделение очень рано, чуть ли не к 6 утра? У вас как?
К 6 точно нет. В 7:30 уже на работе. Потому, что иначе всё не успеть. Достаточно обычная практика. Бывает больше нагрузка, бывает меньше. Сейчас у нас полное отделение, поэтому, конечно больше работы.
Ваше мнение, Чернецкий в амплуа музыканта, человека поющего, говорящего со сцены, на своём месте?
Да, на своём. Просто его аудитория, может быть, не такая широкая. Потому, что как человек натерпевшийся в жизни, он нашёл не очень большую, но верную аудиторию, которая вокруг него сконцентрировалась. Он боец, однозначно, и сделал больше, чем могут сделать другие в его ситуации. Основная масса людей инвалидизируются. Он, ну, прямо скажем, ограничен функционально, он не может многое делать то, что мы можем. При этом, имеет музыкальный талант. И, если даже его массовая аудитория не очень широко знает, по крайней мере, его коллеги-профессионалы его ценят, а это тоже немало значит среди рок-культуры. Поэтому, конечно, он на своём месте. Он делает добро, вносит позитив. Я смотрел его концерты, конечно, не стадионы, но люди очевидно рады, довольны, получают удовольствие от его песен. Что ещё надо?
Если бы вас кто-нибудь из незнакомых спросил случайно. Допустим, в купе вагона: «Что это за человек?». Буквально в 2-3 предложениях. Это человек, который…
Конечно, не знаю его связь с Ленинградским рок-клубом, но я бы так сказал, что это музыкант из Ленинградского рок-клуба. Думаю, он имеет все основания таким называться, даже если он в рок-клубе не участвовал. Он идейный. Он из той команды. Сейчас несколько человек спросил из более молодых, знают ли они группу «Разные Люди», они не знают. Это понятно, и я, может быть, не узнал, если бы с Сашей не познакомился. Но не в этом дело. Это пласт питерской культуры.

Финал. О чём я вас не спросил, но вы об этом подумали?
Если честно, думал, а что буду рассказывать. Вы прекрасно построили наше общение, что я постоянно тут разглагольствовал, и больше про наше, медицинское направление, чем про Сашу Чернецкого. Я просто его не очень близко знаю. Поэтому, не совсем понимал, что буду рассказывать. В итоге я проболтал два часа.
Хочу вам сказать спасибо за разговор. Во многом всегда стараюсь, чтобы материал не пропадал, чтобы он в полноте был размещён. В целом, очень мало можно в интернете найти информации, которая касается близкого родственника, у которого случилась такая проблема со здоровьем. Люди задают вопросы. Коммерческие сайты предлагают свою какую-то, а вот с настроением, как будто ты поговорил с доктором, и он тебе на понятном языке объяснил, что его ждёт или что не ждёт — это важно. Поэтому психообразовательную миссию мы выполнили.
Я давно в обойме. И уже давным-давно к этому пришёл, что главное — людям на доступном языке объяснить. Многие врачи чем грешат? Они часто немногословны и, бывает лишнего слова не выпросишь. Часто это из-за перегрузки временной. Но пациенту надо житейски объяснить, что это хорошо, но в то же время есть какие-то проблемы… По-честному сказать, и по-человечески.
Как говорится, не пациент вас выбирает, а вы его выбираете? Но вы выбираете большинство.
И так, и сяк. Мы не тащим насильно к себе. У нас хорошее сарафанное, и не только сарафанное радио, хорошая история работы, история клиники. Поэтому, мы можем спокойно, достойно объяснить по-честному, что это может быть не так просто, это может быть не так легко, но при этом чаще всего выполнимо.
